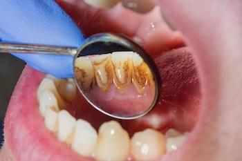
Periodontia
Especialidade que cuida dos tecidos de suporte e sustentação dos dentes, visando à saúde das gengivas.
Os tratamentos envolvem desde a remoção de cálculo dentário (tártaro) à utilização de tratamentos com laser e enxertos gengivais.




Profissionais que atendem Periodontia

Poliana Borba Mascarenhas
Dentística / Prótese
CRO-MG 60.411