Implante
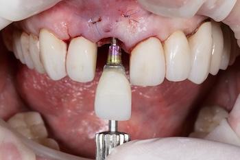
Especialidade responsável pela reabilitação oral para a substituição de dentes perdidos. São afixados implantes de materiais biocompatíveis na maxila e na mandíbula.




Não atendemos convênios! Atendimento somente particular.
Especialidade responsável pela reabilitação oral para a substituição de dentes perdidos. São afixados implantes de materiais biocompatíveis na maxila e na mandíbula.



